Fibroza

U većini slučajeva uzrok plućne fibroze odnosno fibrozne promjene pluća je nepoznat iako postoje minimalne šanse da je uzrok genetičke prirode.
Fibroza. Tesutul cicatrizat se afla in imposibilitate de a transporta oxigenul. Fibromas or fibroids are tumors of fibrous or connective tissue that can grow in any organ. Made up of fibrous connective tissue rather than cancerous cells they can grow in any and all organs and usually do not require removal. Kao odgovor na ozljede to se zove ožiljačni prsten a ako fibroza proizlazi iz jedne linije ćelija zove se fibroma.
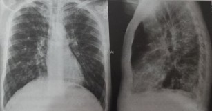
Fibroza pulmonara defineste cicatrizarea tesuturilor pulmonare. Plućnu fibrozu može uzrokovati mnogo bolesti posebno one koje uključuju nenormalnosti imunološkog sustava reumatoidni artritis sklerodermija sistemski lupus eritematodes. Jde o autozomální recesivní vrozené onemocnění způsobené mutací genu produkujícího protein cftr anglicky cystic fibrosis transmembrane conductance regulator. Fibroza pulmonara defineste cicatrizarea tesuturilor pulmonare.
The plantar fascia is a band of tissue that supports muscle and extends along the bottom of the foot from the heel to toes. 1 može biti reaktivno benigno ili patološko stanje. Repeated injuries chronic inflammation and repair are susceptible to fibrosis where an accidental excessive accumulation of. Despite being benign uterine fibroids can lead to heavy vaginal.
Fibroza este termenul medical care descrie cicatricile. Jedná se o gen uložený na dlouhém raménku 7. Aceasta afectiune poate fi provocata de mai multe afectiuni inclusiv procese inflamatorii cronice sarcoidoza granulomatoza wegener infectii interactiunea cu diversi agenti de mediu azbest siliciu anumite gaze expunerea la radiatii ionizante radioterapia de. Fibroza je formiranje viška vlaknastog vezivnog tkiva u organu ili tkivu u reparativnom ili reaktivnom procesu.
Fibroza pluća uzroci. One such tumor is known as a fibroma. Fibróza je stav zmnožení vaziva typu pojivové tkáně jakožto důsledku hojivého procesu po zánětu zranění či reparativní reakce na různé typy podnětů včetně příčin nejasné etiologie. Fibrotickým procesem se u parenchymatózních orgánů zvyšuje poměr vaziva na úkor funkční tkáně dochází ke snížení fyziologické funkčnosti a jejich ztuhnutí.
Fibrosis also known as fibrotic scarring is a pathological wound healing in which connective tissue replaces normal parenchymal tissue to the extent that it goes unchecked leading to considerable tissue remodelling and the formation of permanent scar tissue. Fibroza este termenul medical care descrie cicatricile. A soft fibroma can form. Cystická fibróza cf neboli mukoviscidóza je lidské geneticky podmíněné onemocnění které postihuje převážně dýchací a trávicí soustavu.
A plantar fibroma is a nodule or fibrous knot embedded in the plantar fascia in the arch of the foot. Fibroids commonly grow in the uterus.